Media room

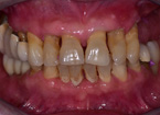
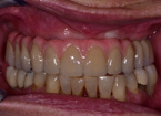
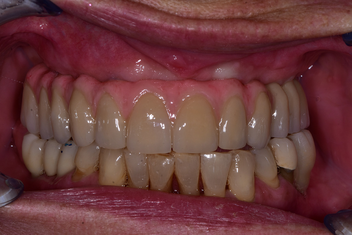
Riabilitazione implanto-protesica arcata superiore

Riabilitazione implanto-protesica arcata superiore con tecnica All-On-Four, con protesi in composito su barra fresata in titanio.

Photogallery: