Media room

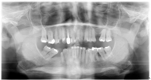
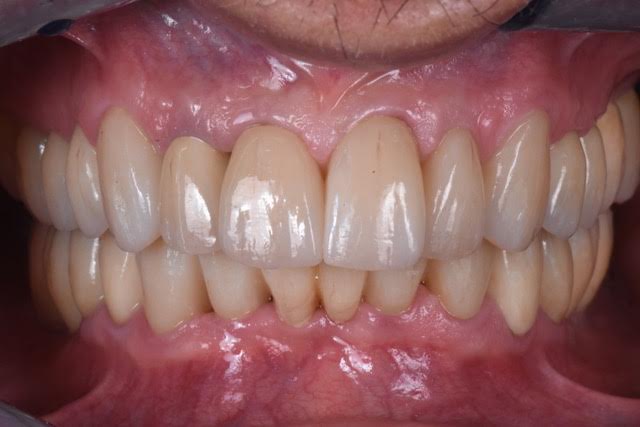
Riabilitazione implanto-protesica completa

Riabilitazione implanto-protesica completa di paziente disfunzionale, con molteplici fratture ed abrasioni.

Photogallery: