Media room

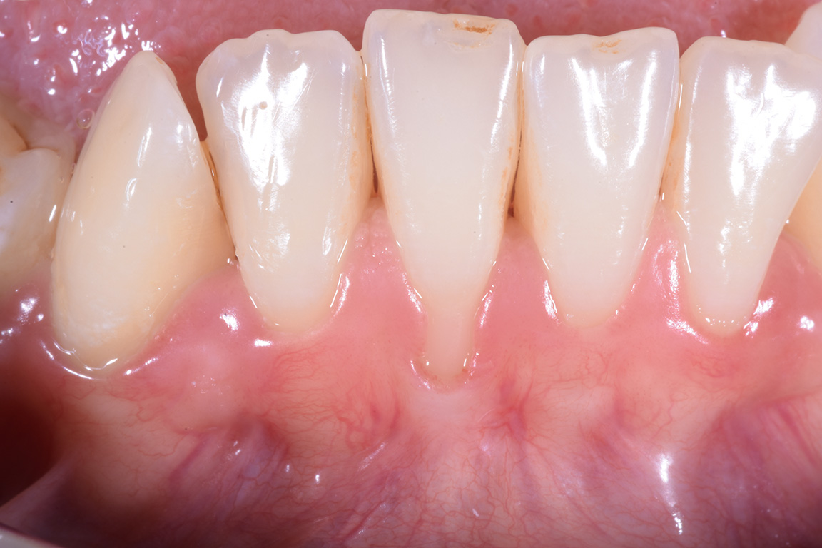
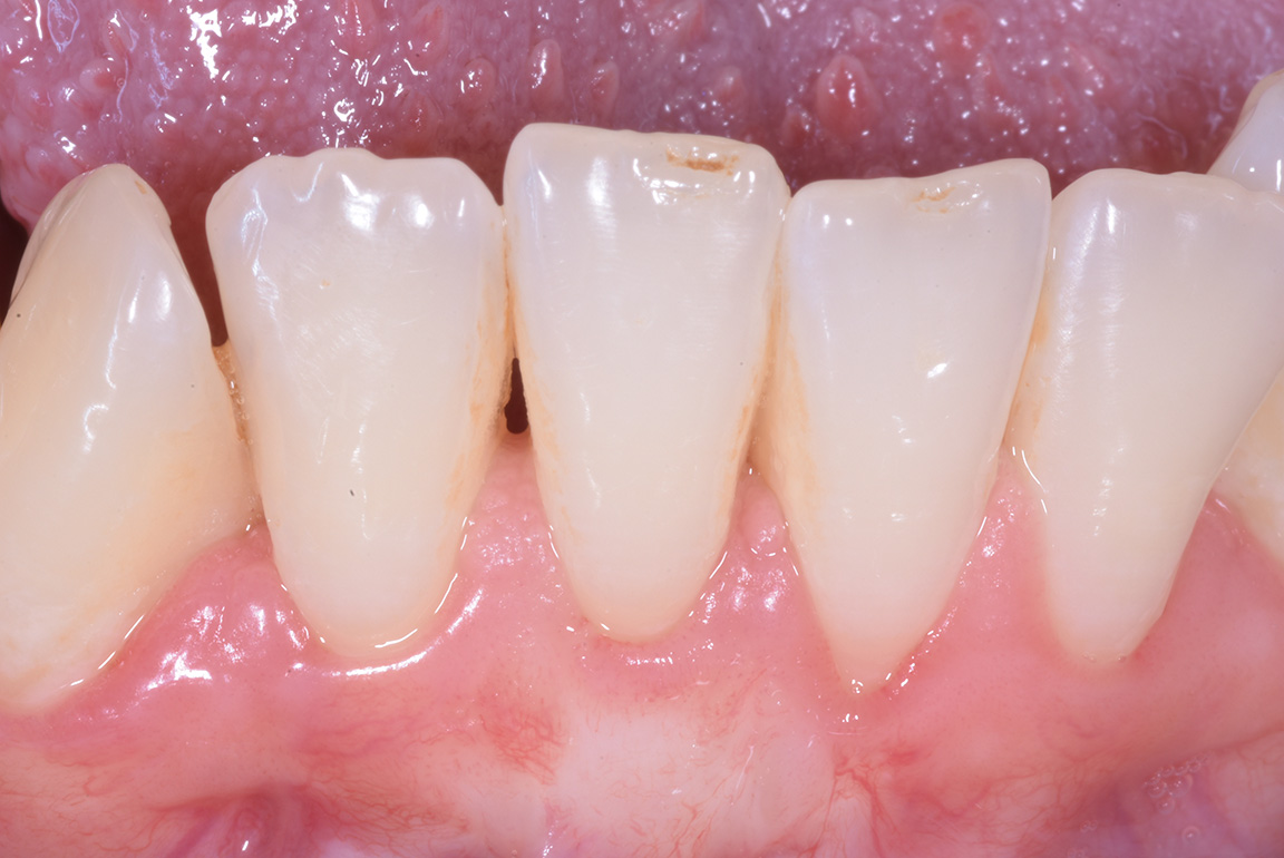
Correzione recessione singola

Correzione recessione singola su incisivo centrale in dx cont tecnica bilaminare di chirurgia mucogengivale, con innesto di connettivo autologo.

Photogallery: