Media room

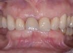
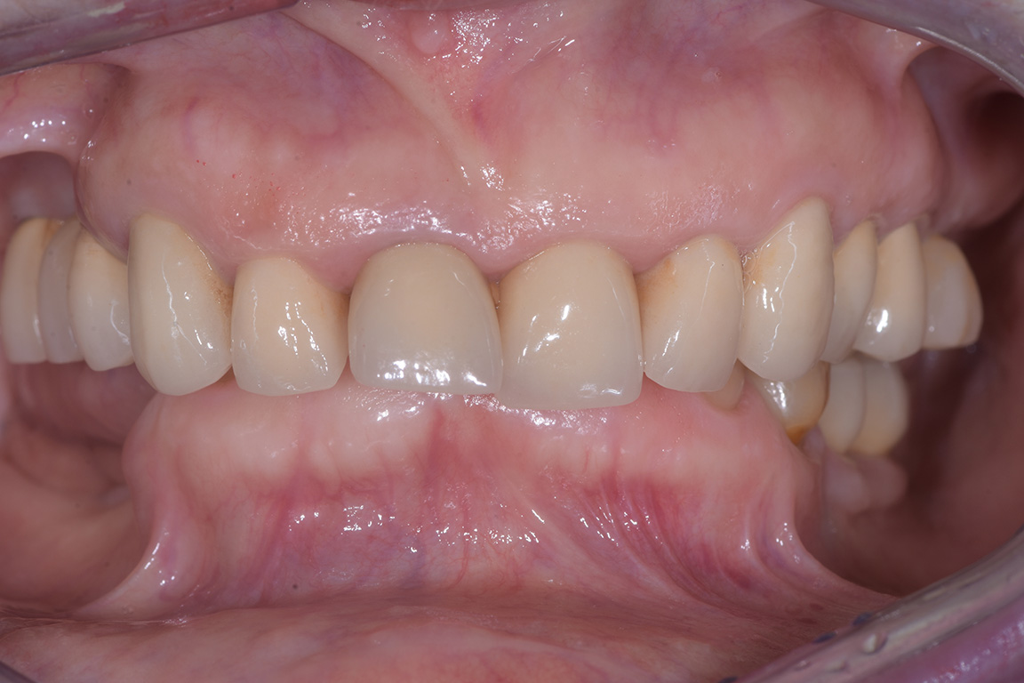
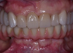
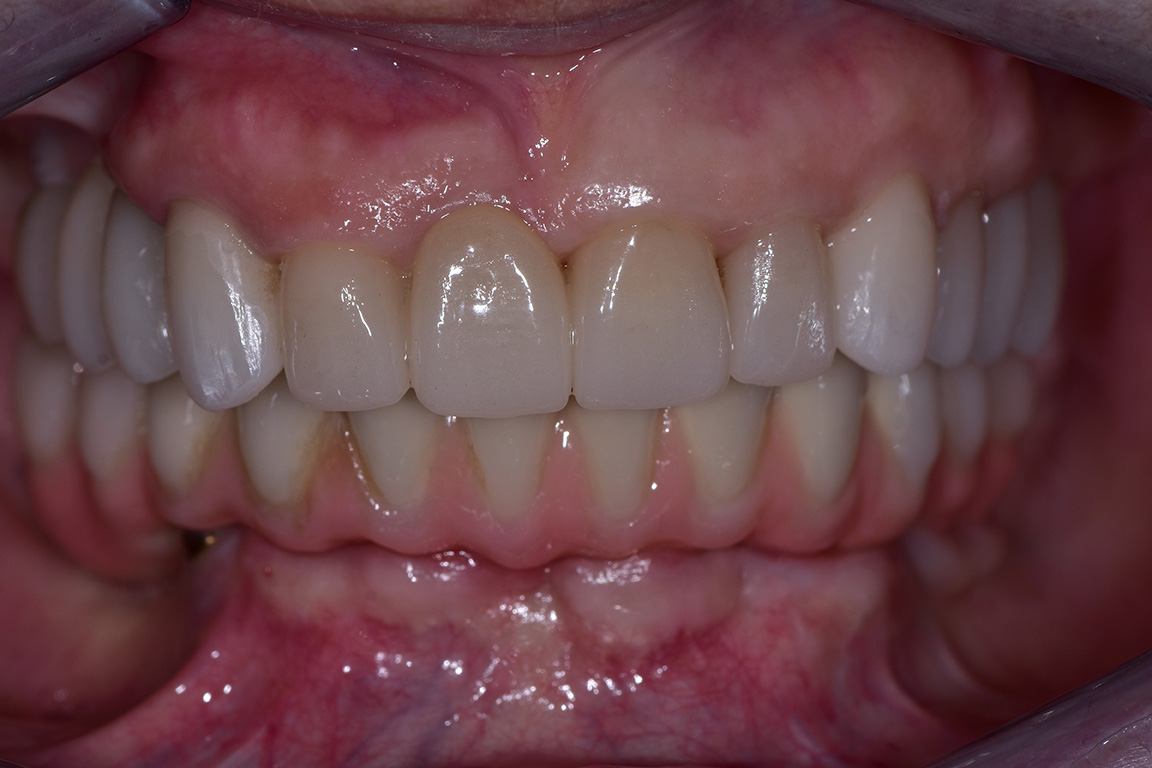
Riabilitazione "full-arch" due arcate con tecnica mista

Riabilitazione "full-arch" due arcate con tecnica mista, su denti naturali ed impianti, per correzione morso profondo e ripristino funzionale, con corone in zirconio.

Photogallery: