Media room

Correzione estetica mucogengivale

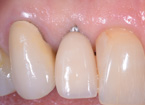
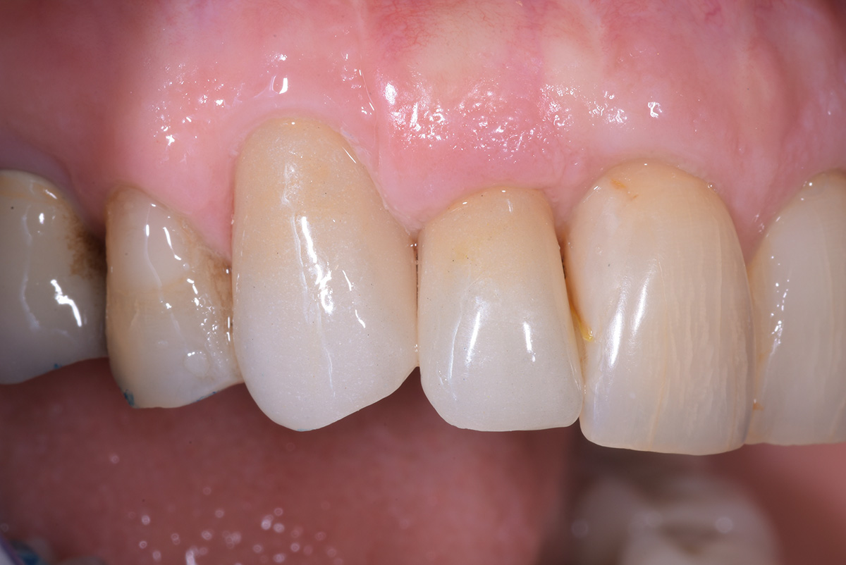
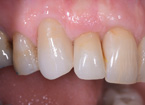
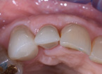
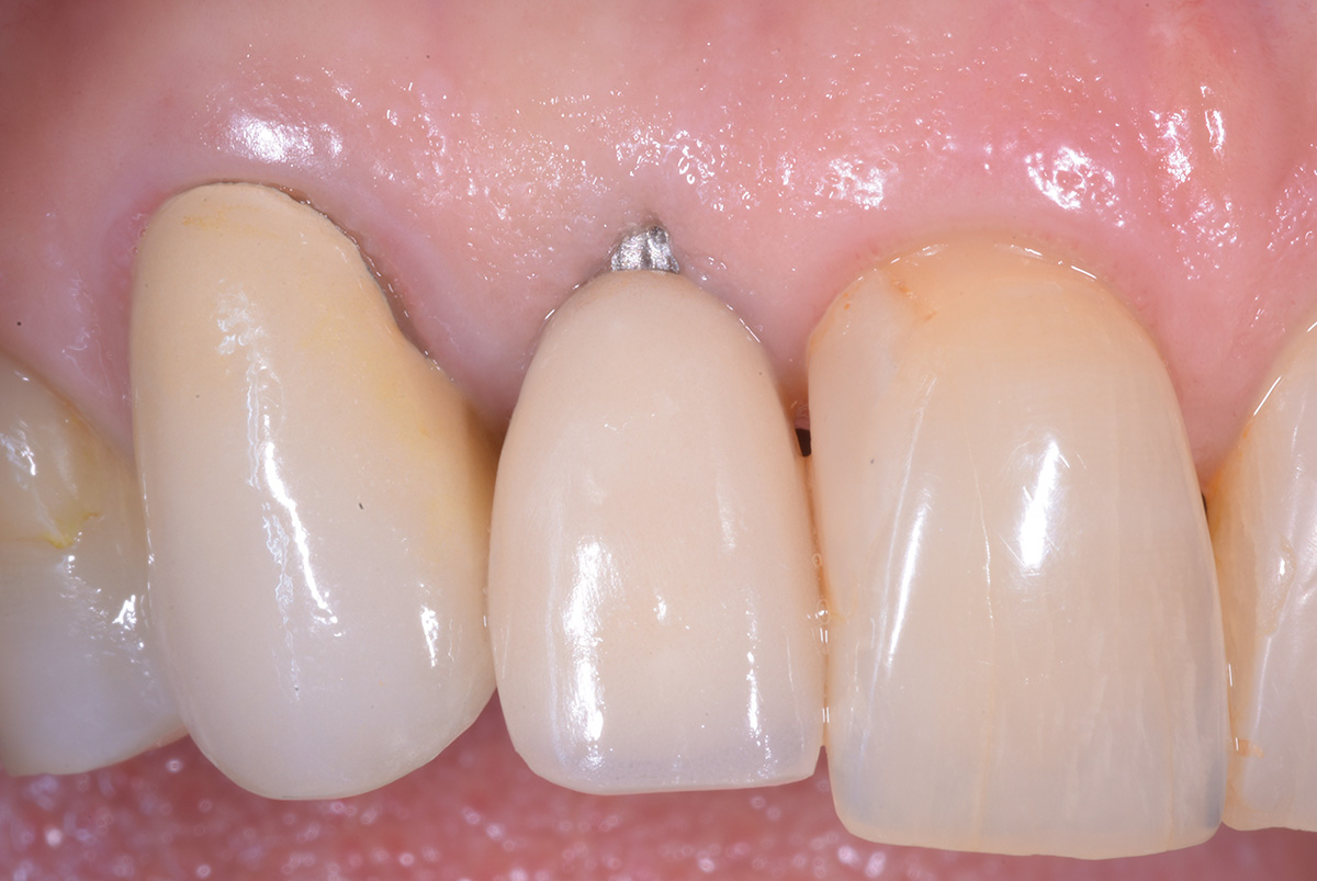
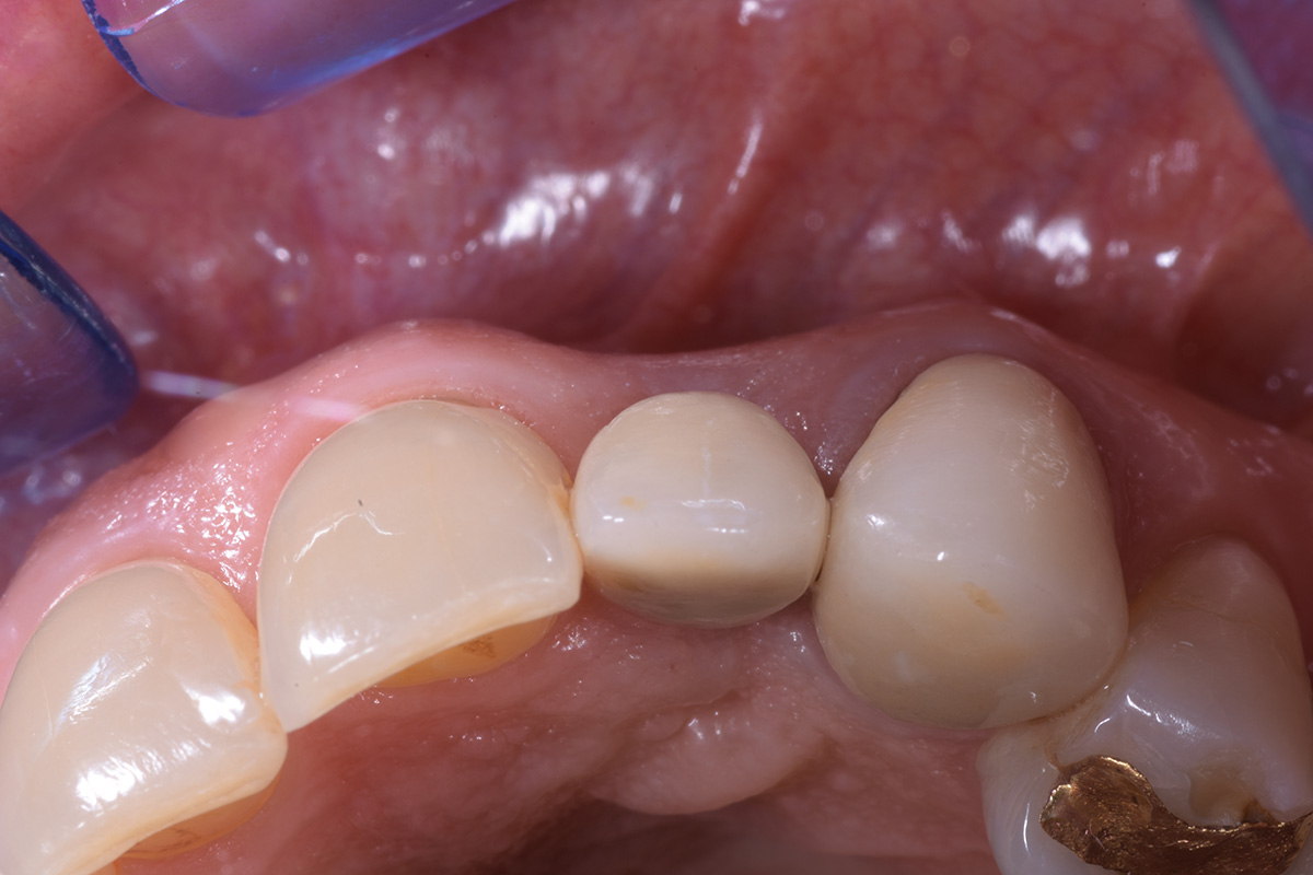
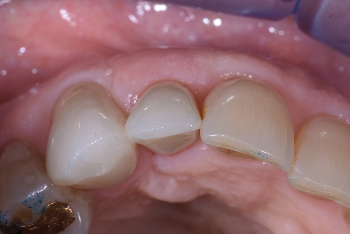
Correzione estetica mucogengivale, mediante innesto di connettivo, di esposizione impianto di incisivo laterale sup dx, con rifacimento protesico di laterale e canino.

Photogallery: