Media room

Riabilitazione completa superiore e settori posteriori inferiori

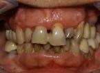
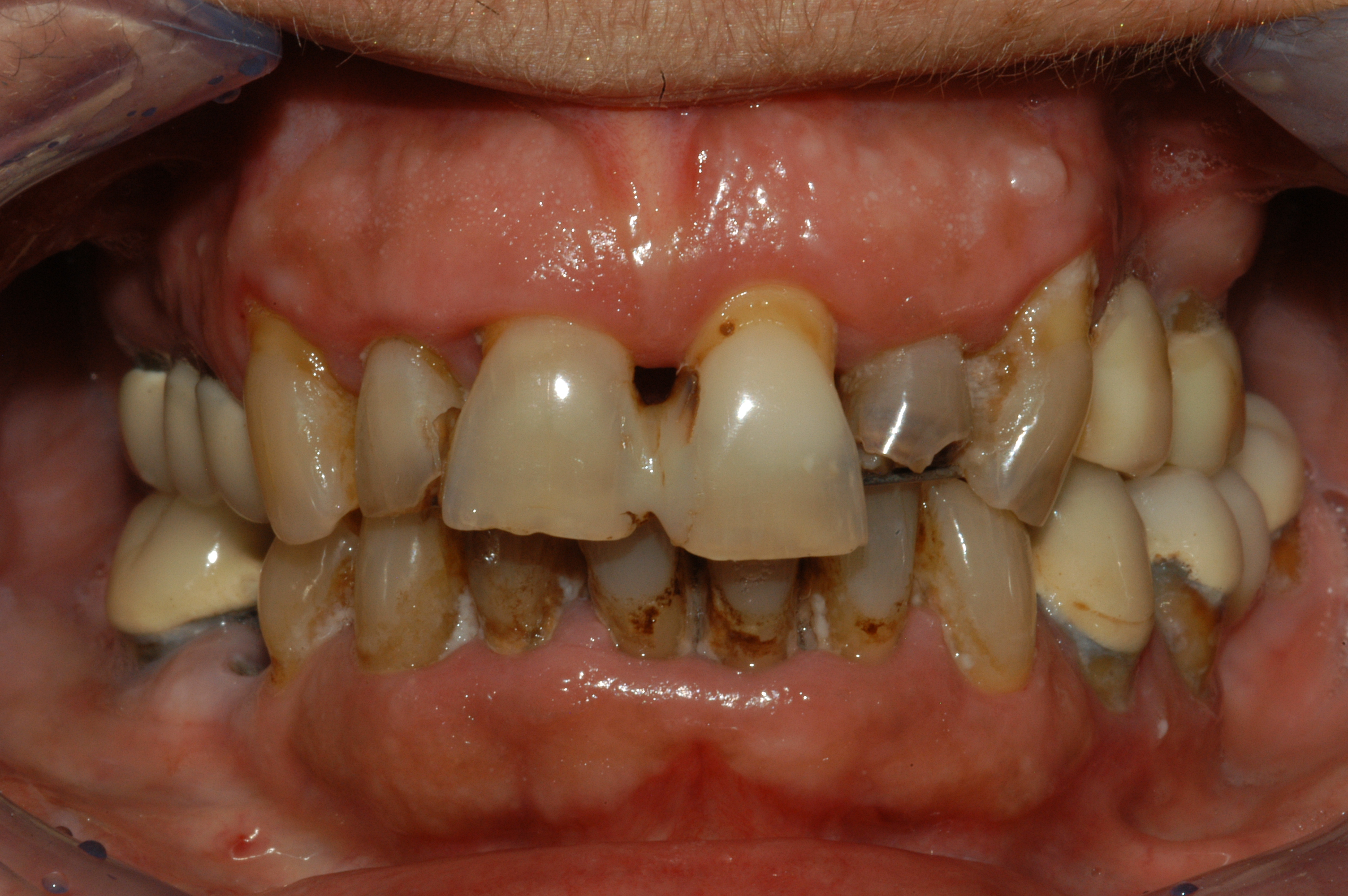
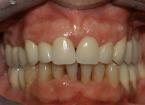
Paziente F, 52 anni, riabilitazione implanto-protesica completa superiore, ad appoggio dentale ed implantare. Riabilitazione implanto-protesica dei settori postero-laterali inferiori su denti naturali e su impianti.

Photogallery: