Media room

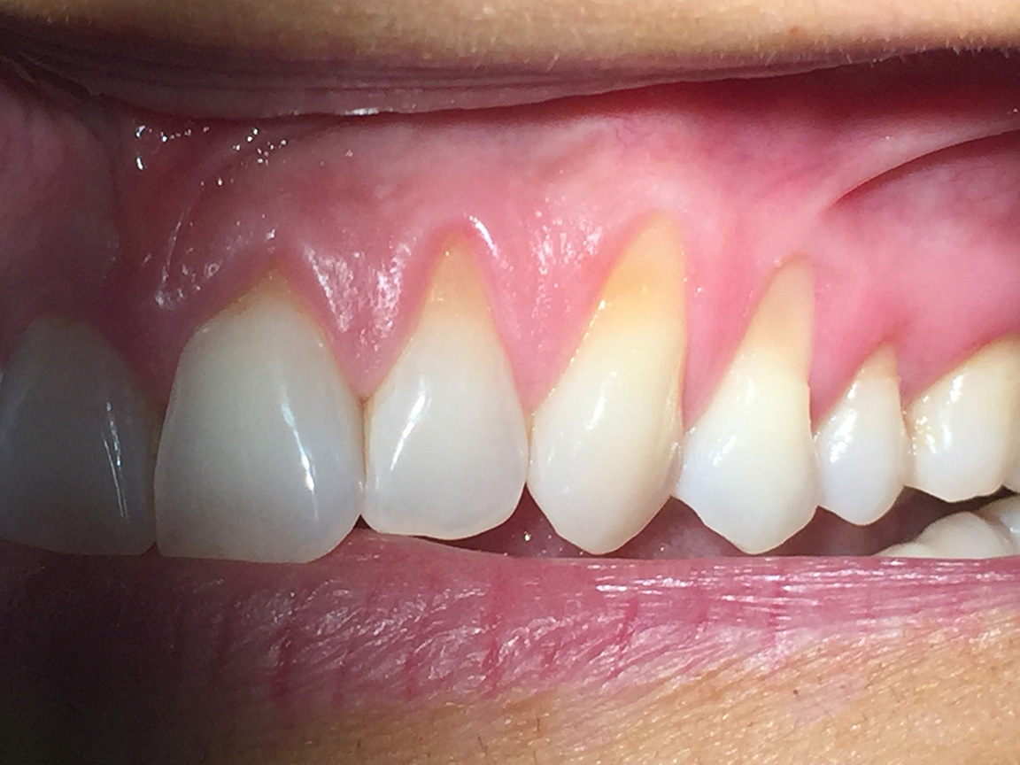
Correzione SIMULTANEA di recessioni multiple

Correzione SIMULTANEA di recessioni multiple su quadrante sup sx con tecnica bilaminare di chirurgia mucogengivale, con innesto di connettivo autologo.

Photogallery: