Dental Suisse
Studio
Equipe
Servizi
Media room
Contatti
Form di ricerca
Cerca
Media room
Precedente
Torna all'elenco
Successiva
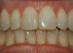
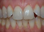
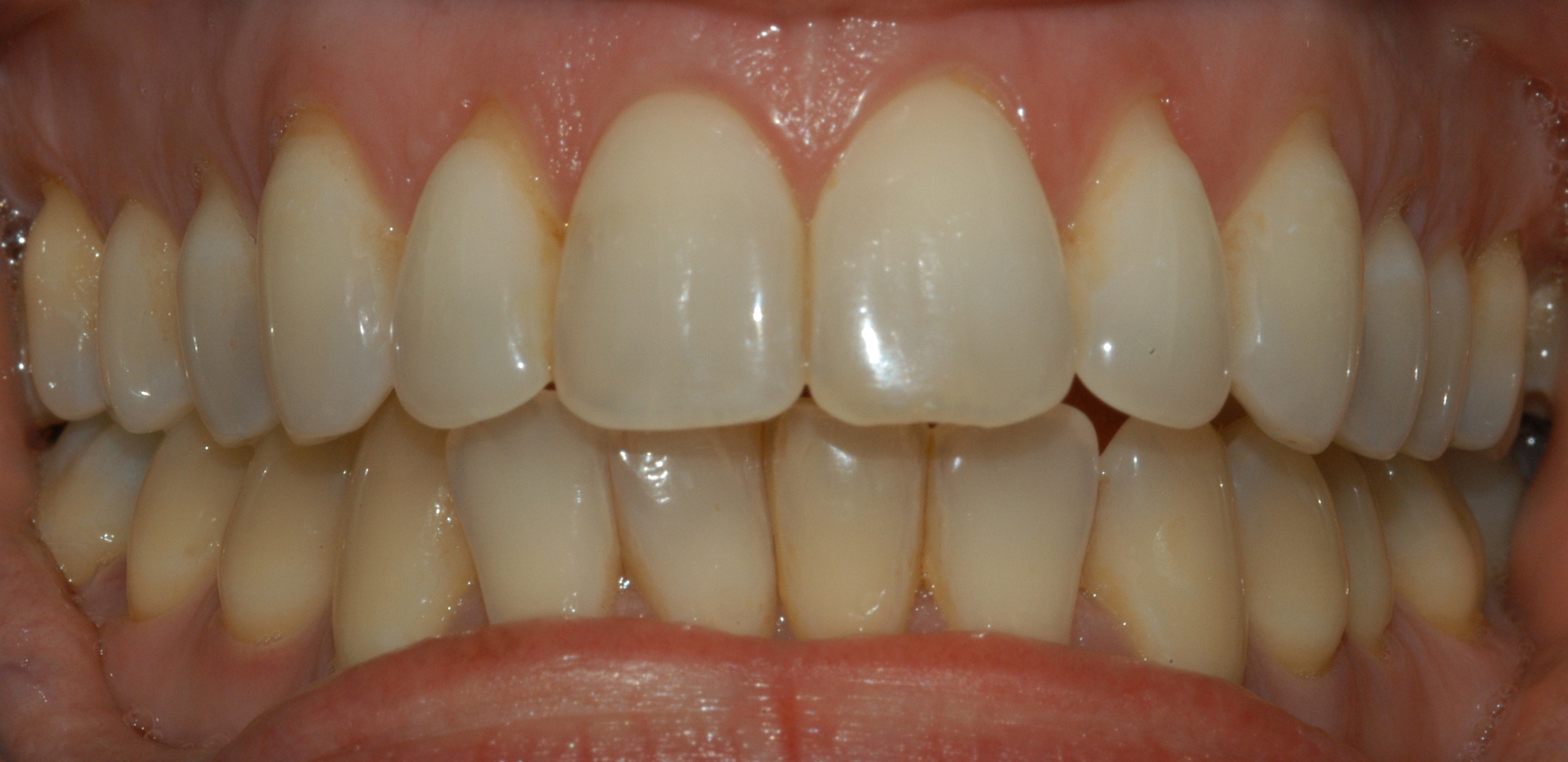
Ortodonzia linguale estetica
Allineamento ortodontico superiore con tecnica linguale.
Photogallery: